
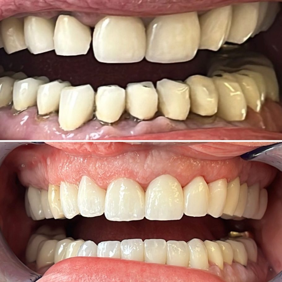
Metallfreie Konstruktion
Zirkonoxid verfeinert mit Noritake synthetische keramik, für eine unverwechselbare Frontzahn Ästhetik.
oder
Ivoclar e.max press verblendet mit IPS e.max Ceram.

Zirkonoxid verfeinert mit Noritake synthetische keramik, für eine unverwechselbare Frontzahn Ästhetik.
oder
Ivoclar e.max press verblendet mit IPS e.max Ceram.
Wir benötigen Ihre Zustimmung zum Laden der Übersetzungen
Wir nutzen einen Drittanbieter-Service, um den Inhalt der Website zu übersetzen, der möglicherweise Daten über Ihre Aktivitäten sammelt. Bitte überprüfen Sie die Details in der Datenschutzerklärung und akzeptieren Sie den Dienst, um die Übersetzungen zu sehen.